-
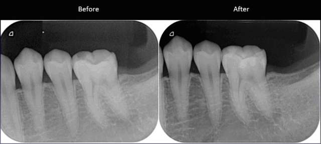
before
-
after
| 通院回数・期間 | 1回〜3回 |
|---|---|
| 処置内容 | 右下6番(セラミックインレー)7番(ダイレクトボンディング)を治療 |
| 今回の施術費用 | ¥33,000〜110,000 |
メリット
歯を削る量を少なくできる。歯に直接詰め物をつけることができる。ピッタリ詰めれる。
デメリット
奥歯で器具が入りにくい場所や、大きい虫歯治療には適応できない場合がある。










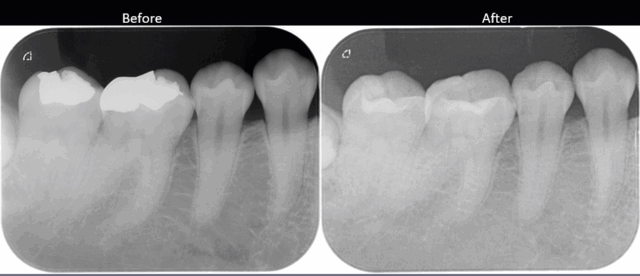
before
after
| 通院回数・期間 | 1回〜3回 |
|---|---|
| 処置内容 | 右下6番(セラミックインレー)7番(ダイレクトボンディング)を治療 |
| 今回の施術費用 | ¥33,000〜110,000 |
歯を削る量を少なくできる。歯に直接詰め物をつけることができる。ピッタリ詰めれる。
奥歯で器具が入りにくい場所や、大きい虫歯治療には適応できない場合がある。









